Digital Guided Aesthetic Veneer Restoration

A Digital Veneer offers an ideal dental treatment for individuals with broken, chipped, short, or discolored teeth, as well as those seeking a flawless smile without undergoing lengthy and complex orthodontic procedures.
Today, based on the actual case treatment process, we will introduce you to the HUGE Digital Veneer Solution.
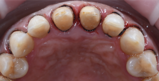
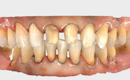
Step 1: Data Collection
For ceramic veneers, it is advisable to use minimal tooth structure reduction with a minimally invasive approach.

A digitally guided veneer preparation workflow ensures precise tooth reduction by using CAD software to calculate the minimal thickness needed for the final veneers.

i-Vinci Smart Intraoral Scanner
Accurate, Precise, and Fast

Accuracy ≤ 7μm
Precision ≤ 5μm
Step 2: Computer Aided Design
During veneers designing, import the mock-up data to ensure the final prosthesis meets the patient’s expectations.

Step 3: Veneers Manufacturing and Model Printing
To obtain a resin cast with a 3D printer
Manufacturing the veneers by the milling machine

Delivers speed, accuracy, and success. The 9.25-inch 6K black-and-white LCD screen can handle full upper and lower arches for aligners, study models, dentures, splints, and more.

NOBILCAM-5X is a 5-axis dry cutting machine with micron-level precision and high reliability. Paired with solid carbide NOBILCAM Milling Burs, it's perfect for milling Zirconia, Titanium, Lithium Disilicate, PMMA and other resins.

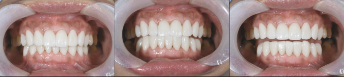
Step 4: Veneer Cementation
New Launch: TopCEM Veneer System
For permanent cementation of veneer made from materials of porcelain/ceramic and composites.

TopCEM-Veneer Light Cure Veneer Cement

1. Impressive physical properties

Bonding strength to Glass ceramic with total-etch technique: 36.8Mpa
* Data from HUGE Lab
2. Excellent Color Stability

HugeBond Universal FliPro Light Cure Dental Adhesive

1. 8th generation bonding agent with universal applications
2. Contains MDP monomer which enhances chemical adhesion to direct andindirect restorations.

After the restorations, a beneficial intraoral functionality was observed.

English
日本語
français
Deutsch
Español
русский
português