VinciSmile Clear Aligner Case Study

Moderate crowding in the maxilla, mild crowding in the mandible, congenital absence of tooth 41, deep overbite and overjet, 24 and 25 being scissor bite with 34 and 35, bolton discrepancy in the anterior teeth, poor oral hygiene. Maxillary molar distalization with appropriate IPR, narrowing the maxillary arch and expanding the mandibular arch, Class II traction to establish a good posterior relationship with cusp-to-fossa occlusion and normal overbite and overjet of the anterior teeth, treatment duration of 2.5 years.
3D Scheme

Before Treatment
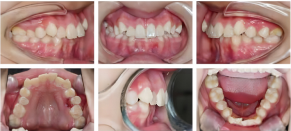
Extra-oral photos
Frontal analysis: Facial symmetry observed.
Profile analysis: Mandibular retrognathism.

Intra-oral photos
Sagittal plane issues: Class II malocclusion, deep overbite.
Vertical plane issues: Deep overbite of anterior teeth.
Horizontal plane issues: Maxillary dental arch is too wide in the midsection, while the mandibular dental arch is narrow.
Dental arch issues: Crowded dental arch, bilateral scissor bite of premolars on the left side.

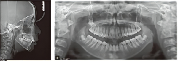
X-ray

During Treatment
Intra-oral photos

After Treatment
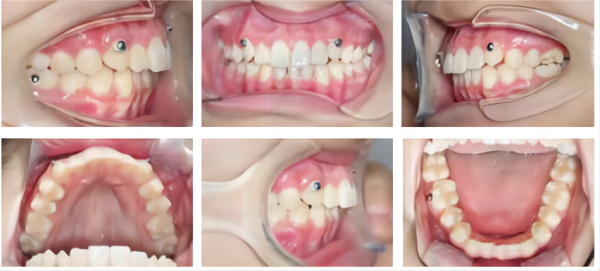
Extra-oral photos
The facial profile has improved with reduced convexity, and the chin position is stable. There is a noticeable improvement in the smiling photo.

Intra-oral photos
Crowding has been relieved, and the Spee curve is leveled. There is a neutral relationship between the bilateral molars and canines, and deep overbite has been corrected.

X-ray

DOCTOR’S SUMMARY
1. Molar distalization is a key advantage of the VinciSmile treatment. In this case, the patient is not willing to extract the maxillary wisdom teeth, resulting in limitations in distal movement.
2. The resolution of the anterior scissor bite proceeded smoothly because the extent of the scissor bite was not too severe. Therefore, the aligners' inherent splint effect helped reduce occlusal interference during the treatment.
3. VinciSmile demonstrates excellent performance in controlling and calculating minute gaps. The maxillary IPR in this case was within a safe range, highlighting the high precision required by the doctor for accurate IPR control.

English
日本語
français
Deutsch
Español
русский
português